結局、7年だましだまし暮らしてきましたが、一昨日、仕事帰りに突然、左手がうごかなくなりました。
家内が即断で救急車を呼び、翌日入院。現在、この記事を病室で書いています。
異変があったのは3ヶ月ほど前から。
パソコンでローマ字入力をしていると、どうしても左手の文字を連打してしまう(つまり小さい「っ」がでる)ことが多く、何度も消して、書き直し、また小さい「つ」を消しては…の繰り返しを頻繁にするようになってきました。
一昨日は、それでも少し手がしびれただけだろうとタカをくくって運転して帰りました。
もちろん、簡単には家に着けず、広場に止めて一旦落ち着いてみたり、縁石にぶつけてみたり…
さすがにもうダメと思いました。
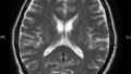
緊急搬送のあと、MRI画像にはやはり大きな影。まずは明後日の朝に開頭手術、その後のことは、怖くて担当医に聞く勇気がありませんでした。
甘えたことを言っていいのなら、せめて娘たちの結婚式に妻と出席したい。
天はどのような運命を我が家に投げかけるのでしょうか。。。

